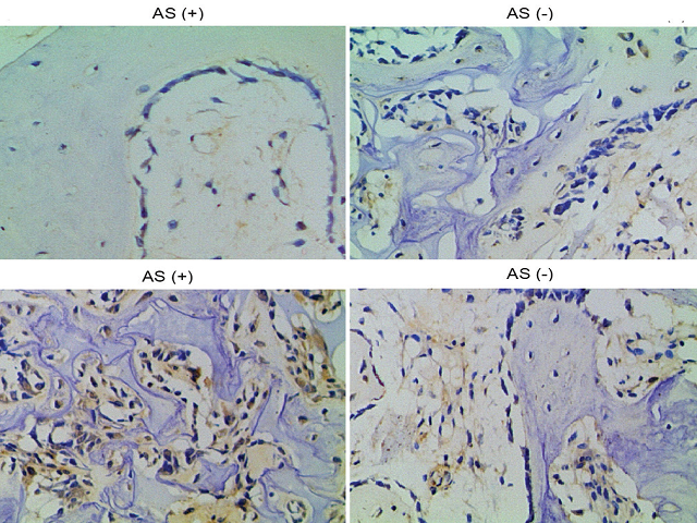
Background: Astragaloside (AS) has been clinically used in the management of fracture, but the underlying mechanism of AS involved in fracture healing is still unknown, so the objective of our study was to explore the above potential mechanism of AS. Materials and Methods: 3-(4,5-dimethylthiazol-2-yl)-2,5-diphenyl tetrazolium bromide assay, flow cytometry analysis, real-time polymerase chain reaction, Western blot analysis, computational analysis, luciferase assay, and immunohistochemistry (IHC) were utilized to detect the underlying mechanism of AS involved in fracture healing. Results: Cell growth rate, collagen type I, and cell content of osteoblast and MG-63 cell increased while cell apoptosis decreased in a dose-dependent manner compared with controls. MiR-122 and RUNX2 levels showed a stepwise increase while miR-221 and P53 levels showed a stepwise decline as AS concentration increased in osteoblast and MG-63 cells compared with controls. P53 was a virtual target gene of miR-122. Meanwhile, miR-221 directly regulated RUNX2. AS+ group displayed higher messenger RNA (mRNA) levels of miR-122 and RUNX2 than AS− group, while miR-221 and P53 mRNA levels in AS+ group were much lower than AS− group. Results of IHC showed that P53 protein was lowly expressed, while RUNX2 protein was highly expressed in AS+ group compared with AS− group. Conclusion: We identified the effects of the regulatory relationship between AS, miR-122, miR-221, P53, and RUNX2 and their effects on the apoptosis of osteoblasts.