Pharmacognosy Magazine, Vol 15, Issue 66 (Suppl.), Oct-Dec 2019

Recent Articles

Original Article

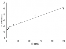
Inhibitory effects of fermented soybean tempeh on the anti-adhesive properties of Actinomyces viscosus and plaque growth in vitro

Allimalar Sathiaseelan,Chong Seng Shit,Tsun-Thai Chai

Pharmacognosy Magazine,15(66):371-376
DOI: 10.4103/pm.pm_29_19
Published: November 28, 2019
Read More
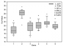
Original Article

Selection of suitable reference genes for reverse transcription-quantitative polymerase chain reaction normalization in Artemisia annua L. plants at different stages of growth and development

Javed Ahmad,Nazima Nasrullah,Naved Quadri,Umara Nissar,Shashi Kumar,Malik Zainul Abdin

Pharmacognosy Magazine,15(66):377-385
DOI: 10.4103/pm.pm_600_18
Published: November 28, 2019
Read More
Original Article

Modulation of sodium arsenite-induced Toxicity in mice by ethanolic seed extract of Trigonella foenum graecum

Surjyo Jyoti Biswas,Goutam Ghosh,Ved Prakash Dubey

Pharmacognosy Magazine,15(66):386-395
DOI: 10.4103/pm.pm_518_18
Published: November 28, 2019
Read More
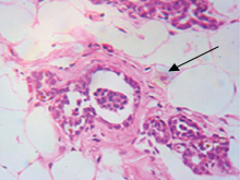
Original Article

Protective Effect of Madhuca longifolia Leaves in 7, 12-Dimethylbenz(a)anthracene Induced Mammary Carcinoma in Sprague Dawley Rat model

Maheswari Chinnadhurai,Faisal Al-Otaibi,Kenneth Nelson,Geetha Kandasamy,Meena Shanmugam,R Venkatnarayanan

Pharmacognosy Magazine,15(66):396-401
DOI: 10.4103/pm.pm_7_19
Published: November 28, 2019
Read More
Original Article

Exploration of antioxidant capacity of extracts of Perna viridis, a marine bivalve

Venkateskumar Krishnamoorthy,Leow Yu Chuen,Vengadan Sivayogi,Sathasivam Kathiresan,Mohd Baidi Bahari,Gunasunderi Raju,Subramani Parasuraman

Pharmacognosy Magazine,15(66):402-409
DOI: 10.4103/pm.pm_301_19
Published: November 28, 2019
Read More
Original Article

Comparative in vitro and in silico characterization of anticancer compounds piceatannol, biochanin-A and resveratrol on breast cancer cells

Pardhasaradhi Mathi,Neelima Musunuru,Neelima Musunuru,Mahendran Botlagunta

Pharmacognosy Magazine,15(66):410-418
DOI: 10.4103/pm.pm_146_19
Published: November 28, 2019
Read More
Original Article

Statistical approach towards optimization of extraction process of karanjin from Pongamia pinnata seeds

Sartaj Akhtar Ansari,Lubna Abidin,Tinku Gupta,Mohd Mujeeb,Aftab Ahmad,arish Ahmad,Showkat Rasool Mir

Pharmacognosy Magazine,15(66):419-425
DOI: 10.4103/pm.pm_609_18
Published: November 28, 2019
Read More
Original Article

Metabolic Profile Elucidation of Ventilago calyculata Aqueous Extract Attenuating Sequelae of Aspirin Retarded Wound Healing

Shweta Kumar,Rajesh Singh Pawar,Deepti Jain

Pharmacognosy Magazine,15(66):426-432
DOI: 10.4103/pm.pm_131_19
Published: November 28, 2019
Read More
Original Article

Ameliorative potential of a traditionally used plant Fraxinus micrantha against oxidative stress and paracetamol-induced hepatotoxicity

Hasandeep Singh,Sarabjit Kaur,Saroj Arora,Balbir Singh

Pharmacognosy Magazine,15(66): 433-439
DOI: 10.4103/pm.pm_236_19
Published: November 28, 2019
Read More
Original Article

Antithrombocytopenic potential of bioactivity guided fractions of traditionally used Psidium guajava Linn. leaves in busulfan induced-thrombocytopenic rats

Adil Ahmad,Mohammad Ibrahim,Karishma Chester,Washim Khan,Sayeed Ahmad,SH Ansari

Pharmacognosy Magazine,15(66):440-448
DOI: 10.4103/pm.pm_608_18
Published: November 28, 2019
Read More
Original Article

The cytoprotective benefits of a turmeric, quercetin, and rosemary blend through activation of the oxidative stress pathway

Arun Rajgopal,Samantha J. Roloff,Charlie R. Burns,David J. Fast,Jeffrey D. Scholten

Pharmacognosy Magazine,15(66):449-454
DOI: 10.4103/pm.pm_556_18
Published: November 28, 2019
Read More
Original Article

Antidiarrheal potential of Eriosema chinense vogel. against enteropathogenic Escherichia coli-induced infectious diarrhea

Komal M. Parmar,Jayshri R. Hirudkar,Dhiraj S. Bhagwat,Satyendra Kuldip Prasad

Pharmacognosy Magazine,15(66):455-461
DOI: 10.4103/pm.pm_129_19
Published: November 28, 2019
Read More
Original Article

Evaluation of diosgenin content in Costus speciosus germplasm collected from Eastern Ghats of India and identification of elite chemotypes

Akanksha Srivastava,Manish Kumar,Ankita Misra,Pushpendra Kumar Shukla,Pawan Kumar Agrawal,Sharad Srivastava

Pharmacognosy Magazine,15(66):462-467
DOI: 10.4103/pm.pm_72_19
Published: November 28, 2019
Read More
Original Article

Neuroprotective efficacy of polyphenols of marine brown macroalga Ecklonia cava in diabetic peripheral neuropathy

Suman Samaddar,Raju Koneri

Pharmacognosy Magazine,15(66):468-475
DOI: 10.4103/pm.pm_212_19
Published: November 28, 2019
Read More
Original Article

Evaluation of lipotropic effect of herbal formulation on hepatic fat accumulation in rats fed with methionine-choline deficient diet

Prasanna Raja Chandrasekaran,Sasikumar Murugan,Edwin Jothie Richard,Bharathi Bethapudi,Divya Purusothaman,Chandrasekaran Chinampudu Velusami,Prashanth D'Souza,Deepak Mundkinajeddu,Muralidhar S. Talkad

Pharmacognosy Magazine,15(66):476-482
DOI: 10.4103/pm.pm_111_19
Published: November 28, 2019
Read More
Original Article

Dioscorea villosa Leaf Extract Enhances in vitro Wound Healing and Expression of Extra Cellular Matrix Factors Transforming Growth Factor-Beta 1 and Collagen-1 in L929 Cell Lines

Murad Alsawalha,Abeer Mohammed Al-Subaie,Reem Yousuf Al-Jindan,Srinivasa Rao Bolla,Mohammed Salahuddin,Vishnu Priya Veeraraghavan,Dwaipayan Sen,Janardhana Papayya Balakrishna,Padma Kanchi Ravi,Joel Palpath Joseph,Aruthra Arumugam Pillai,Shiva Shankar Re Gollapalli,Shonima Pala,Fajre Pengateeri,George Dominic,Surapaneni Krishna Mohan

Pharmacognosy Magazine,15(66):483-494
DOI: 10.4103/pm.pm_81_19
Published: November 28, 2019
Read More
Original Article

Curcumin vasorelaxation in uterine artery of goat (Capra hircus) is mediated by differential activation of nitric oxide, prostaglandin I2, soluble guanylyl cyclase, and gap junction communication

Harithalakshmi Jandhyam,Subas Chandra Parija

Pharmacognosy Magazine,15(66):495-501
DOI: 10.4103/pm.pm_188_19
Published: November 28, 2019
Read More
Original Article

Inhibition of key digestive enzymes involved in glucose metabolism by biosynthesized zinc oxide nanoparticles from Syzygium cumini (L.): An in vitro and in silico approach

Arul Daniel,Asha Devi

Pharmacognosy Magazine,15(66):502-509
DOI: 10.4103/pm.pm_253_19
Published: November 28, 2019
Read More
Original Article

Herniarin, a natural coumarin, inhibits mammary carcinogenesis by modulating liver X receptor-α/β-PI3K-Akt-Maf1 Pathway in sprague-dawley rats

Pritha Bose,Shakti Prasad Pattanayak

Pharmacognosy Magazine,15(66):510-519
DOI: 10.4103/pm.pm_264_19
Published: November 28, 2019
Read More
Original Article

Cellular protection induced by genistein in mouse and its antioxidant capacity

Rogelio Paniagua-Pérez,Susana Reyes-Cadena,Carlos Martínez-Canseco,Celia Reyes-Legorreta,Jesús Martínez-Castro,Eduardo O. Madrigal-Santillán,José A. Morales-González,José M. Cristóbal-Luna,Isela Álvarez-González,Eduardo Madrigal-Bujaidar

Pharmacognosy Magazine,15(66):520-526
DOI: 10.4103/pm.pm_78_19
Published: November 28, 2019
Read More
Original Article

Kalanchoe blossfeldiana Extract Induces Cell Cycle Arrest and Necrosis in Human Cervical Cancer Cells

Justyna Stefanowicz-Hajduk,Magdalena Gucwa,Adam Hajduk,Renata Ochocka

Pharmacognosy Magazine,15(66):527-537
DOI: 10.4103/pm.pm_86_19
Published: November 28, 2019
Read More
Original Article

SUNCA standardized extract from Helianthus annus L exerts enhanced digestive enzyme activity and subsides obesity through inhibition of C/EBP-α and PPAR-γ expression both in in vitro and in vivo model

K Gouthamchandra,HV Sudeep, ,HB Lingaraju,Shyam Prasad3

Pharmacognosy Magazine,15(66):538-544
DOI: 10.4103/pm.pm_204_19
Published: November 28, 2019
Read More
Original Article

Proanthocyanidins rich extract of Calligonum comosum ameliorates doxorubicin-induced immunosuppression and hepatorenal toxicity

Essam Abdel-Sattar,Doaa H. Abdelhady,Emad W. Ghazy,Walied Abdo,Zizy I. Elbialy,Mustafa Shukry,Engy Abdelhamee Mahrous,Sendker Jandirk

Pharmacognosy Magazine,15(66):545-552
DOI: 10.4103/pm.pm_670_18
Published: November 28, 2019
Read More