Pharmacognosy Magazine, Vol 15, Issue 65, Oct-Dec 2019

Recent Articles

Original Article

Tannic acid-rich porcupine bezoars induce apoptosis and cell cycle arrest in human colon cancer cells

Peng-Nian Yew,Yau-Yan Lim,Wai-Leng Lee

Pharmacognosy Magazine,15(65):523-531
DOI: 10.4103/pm.pm_620_18
Published: September 19, 2019
Read More
Original Article

In vitro UDP-Glucuronosyltransferase and Cytochrome P450 Enzymes Activities of Clinacanthus nutans Leaf Juice and Aqueous Extract

Gabriel Akyirem Akowuah,Jin Han Chin,Siew Wei Yeong,Suk Yen Quah,Mariam Ahmad

Pharmacognosy Magazine,15(65):532-537
DOI: 10.4103/pm.pm_138_19
Published: September 19, 2019
Read More
Original Article

Effect of Piper nigrum ethanolic extract on human breast cancer cell growth and cell migration

Benjaporn Buranrat,Supavadee Boontha

Pharmacognosy Magazine,15(65):538-546
DOI: 10.4103/pm.pm_109_19
Published: September 19, 2019
Read More
Original Article

Optimization of ultrasonic-assisted extraction of flavonoids and anti-oxidant capacity from the whole plant of Andrographis echioides (L.) nees by response surface methodology and chemical composition analysis

Jayalakshmi Ramasamy,Ruckmani Kandasamy,Selvamani Palanisamy,Subramanian Nadesan

Pharmacognosy Magazine,15(65):547-556
DOI: 10.4103/pm.pm_647_18
Published: September 19, 2019
Read More
Original Article

Study on pharmacokinetics and tissues distribution of neomangiferin, mangiferin, timosaponin BII, Timosaponin BIII, and timosaponin AIII after oral administration of Anemarrhenae rhizoma extract in rats

De Ji,Jin-Chun Qiu,Xiao-Nan Su,Yu-Wen Qin,Min Hao,Lin Li,Tu-Lin Lu,Xiao-Kun Li,Cheng-Xi Jiang

Pharmacognosy Magazine,15(65):557-567
DOI: 10.4103/pm.pm_65_19
Published: September 19, 2019
Read More
Original Article

In vitro antitoxoplasmal activity of some medicinal plants

Ibrahim S.Al Na,Waleed S. Koko,Tariq A. Khan,Gamal E. Elghazali

Pharmacognosy Magazine,15(65):568-572
DOI: 10.4103/pm.pm_646_18
Published: September 19, 2019
Read More
Original Article

Juglone Induces Michigan Cancer Foundation-7 Human Breast Cancer Cells Apoptosis through Bcl-2-Associated X protein/B-cell lymphoma/leukemia-2 Signal Way

Qing Luo,Kang Hu,Fang Chen,Feng-Jiao Gan,Yuan-Xiu Leng,Xu-Mei Chen,Su-Hong Sun

Pharmacognosy Magazine,15(65):573-578
DOI: 10.4103/pm.pm_604_18
Published: September 19, 2019
Read More
Original Article

Effects of Atractylodes macrocephala rhizoma on isoproterenol-induced myocardial hypertrophy in mice

Ke-Zhao Wei,Xiao-Hua Cui,Jia-Hua Feng,Ping-An Yao,Jian-Ping Gao

Pharmacognosy Magazine,15(65):579-585
DOI: 10.4103/pm.pm_617_18
Published: September 19, 2019
Read More
Original Article

Anti-eczematic and molecular modeling of anthraquinones isolated from the seeds of Asphodelus microcarpus salzm. viv. growing in Egypt

Abd ElSalam I.Mohammed,Arafa Musa,Marwa S. Abu-Bakr,Hatem S. Abbass

Pharmacognosy Magazine,15(65):586-591
DOI: 10.4103/pm.pm_67_19
Published: September 19, 2019
Read More
Original Article

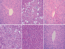
Antioxidant flavonoids from Alhagi maurorum with hepatoprotective effect

Muneera S.M. Al-Saleem,Lamya H. Al-Wahaib,Wael M. Abdel-Mageed,Yaser G. Gouda,Hanaa M. Sayed

Pharmacognosy Magazine,15(65):592-599
DOI: 10.4103/pm.pm_165_19
Published: September 19, 2019
Read More
Original Article

Rosmarinic acid inhibits stem-like breast cancer through hedgehog and Bcl-2/Bax signaling pathways

Hong Li,Yuefeng Zhang,Hsiao-Huei Chen,En Huang,Hailin Zhuang,Dan Li,Feng Ni

Pharmacognosy Magazine,15(65):600-606
DOI: 10.4103/pm.pm_22_19
Published: September 19, 2019
Read More
Original Article

Development of a species-specific polymerase chain reaction-based technology for authentication of asini corii colla and taurus corii colla

Liqun Chen,Zhaoqun Jiao,Yufei Chen,Pingtian Yu,Yang Zheng,Yaya Yang,Yuping Shen,Huan Yang

Pharmacognosy Magazine,15(65):607-612
DOI: 10.4103/pm.pm_640_18
Published: September 19, 2019
Read More
Original Article

Antioxidative and Photocytotoxic Effects of Standardized Clinacanthus nutans and Strobilanthes crispus Extracts toward HepG2 Liver Cells

Sheri-Ann Tan,Shi Yun Lim,Chieu Shie Law,Chen Son Yue,Tze Ven Poh,Wan Zuhainis Saad,Saila Ismail,Khatijah Mohamad Yusoff,Chui Fung Loke

Pharmacognosy Magazine,15(65):613-620
DOI: 10.4103/pm.pm_84_19
Published: September 19, 2019
Read More
Original Article

Structural characterization and immune regulation of a new heteropolysaccharide from Catathelasma imperiale(Fr.) sing

Lu Liu,Xiang Ding,Yiling Hou

Pharmacognosy Magazine,15(65):621-630
DOI: 10.4103/pm.pm_673_18
Published: September 19, 2019
Read More
Original Article

Cytotoxic activity of Rauvolfia tetraphylla L. on human cervical cancer (HeLa) cells

José Angel Santiago-Cruz,Jesús Arrieta,Jazmín García-Machorro,Daniel Arrieta-Baez,María Elena Sánchez-Mendoza

Pharmacognosy Magazine,15(65):631-637
DOI: 10.4103/pm.pm_106_19
Published: September 19, 2019
Read More
Original Article

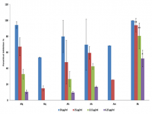
Preventive effect of crude polysaccharide extract from chinese wolfberry against hyperglycemia-induced oxidative stress and inflammation in streptozotocin-induced diabetic rats

Junjie Li,Yong Zhang,Linshan Jiao,Opeyemi Joshua Olatunji,Bing He

Pharmacognosy Magazine,15(65):638-644
DOI: 10.4103/pm.pm_164_19
Published: September 19, 2019
Read More
Original Article

Influence of Flavonoids from Galium verum L. on the activities of cytochrome P450 isozymes and pharmacokinetic and pharmacodynamic of warfarin in rats

Mingyu Cui,Conghui Li,Xiaoyue Kong,Kai Zhang,Qimeng Hu Yuanyua Liu,Yingli Ma,Yanfeng Li,Tingting Chen

Pharmacognosy Magazine,15(65):645-651
DOI: 10.4103/pm.pm_584_18
Published: September 19, 2019
Read More
Original Article

Alisma orientalis (Sam.) juzep polysaccharide-regulated glucose-lipid metabolism in experimental rats and cell model of diabetes mellitus with regulation of miR-126

Zeng-Kun Qian,Zeng-Kun Qian,Yun-Xi Ling,Wen-Juan Zhu,Xiao-Qin Li,Zheng Mao,Min-Ting Li

Pharmacognosy Magazine,15(65):652-658
DOI: 10.4103/pm.pm_441_18
Published: September 19, 2019
Read More
Original Article

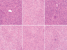
Metabolic profiling of Solanum villosum Mill subsp. miniatum (bernh. ex willd.): Hepatoprotective and antifibrotic activity in a rat model of liver fibrosis

Alaa ElDin E. Abdel-Hamid,Riham Salah El Dine,Jandirk Sendker,Soheir M.El Zalabani,Meselhy R. Meselhy,Elena Jimenez-Negro,Ashraf B. Abdel-Naim

Pharmacognosy Magazine,15(65):659-670
DOI: 10.4103/pm.pm_547_18
Published: September 19, 2019
Read More
Original Article

Undulaterpene A: A new triterpene fatty acid ester from pulicaria undulata

Hossam Mohamed Abdallah,Gamal A. Mohamed,Sabrin R.M. Ibrahim,Hani Z. Asfour,Maan T. Khayat

Pharmacognosy Magazine,15(65):671-674
DOI: 10.4103/pm.pm_668_18
Published: September 19, 2019
Read More
Original Article

FDY003 inhibits colon cancer in a Colo205 xenograft mouse model by decreasing oxidative stress

In-Hee Lee,Dae-Yeon Lee

Pharmacognosy Magazine,15(65):675-681
DOI: 10.4103/pm.pm_650_18
Published: September 19, 2019
Read More
Original Article

Bioactivity-guided isolation of cytotoxic and antioxidant phytochemicals from four Cousinia species from stenocephala bunge section

Leyla Pasayeva,Osman Üstün,Eren Demirpolat,Gökçe S. Karatoprak,Osman Tugay,Müberra Kosar

Pharmacognosy Magazine,15(65):682-692
DOI: 10.4103/pm.pm_487_18
Published: September 19, 2019
Read More
Original Article

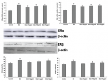
Estrogenic activity of glycosides from Cistanche deserticola as an estrogen receptors adjuvant in vitro

Hui Song,Wen-Lan Li,Xiang-Ming Sun,Yang Hu,Jing-Xin Ding,Yu- Bin Ji,Jing-Ya Wang

Pharmacognosy Magazine,15(65):693-697
DOI: 10.4103/pm.pm_402_18
Published: September 19, 2019
Read More
Original Article

Varthemia iphionoides and Pelargonium graveolens Extracts as a Treatment of Breast Cancer Implanted in Diabetic Mice

Rana Y. Halees,Wamidh H. Talib,Reem A. Issa

Pharmacognosy Magazine,15(65):698-707
DOI: 10.4103/pm.pm_18_19
Published: September 19, 2019
Read More
Original Article

Effects of selected moraceae plants on tyrosinase enzyme and melanin content

Sukanya Dej-adisai,Kedsaraporn Parndaeng,Chatchai Wattanapiromsakul,Wanlapa Nuankaew,Tong Ho Kang

Pharmacognosy Magazine,15(65):708-714
DOI: 10.4103/pm.pm_43_19
Published: September 19, 2019
Read More
Original Article

Antitumor effects and mechanism of protein from Panax ginseng C. A. Meyer on human breast cancer cell line MCF-7

Xilin Wan,Xin Jin,Yuhe Ren,Yang Xiu,Yu Li,Changbao Chen,Shuying Liu

Pharmacognosy Magazine,15(65):715-721
DOI: 10.4103/pm.pm_151_19
Published: September 19, 2019
Read More
Original Article

Systematic estimation of potential risk caused by the replacement of aconite's cultivar

Yan Shen,Sun Xu,Wang Mengyan,Tang Yongbin,Chi Xu,Honeycutt Hailey,Tong Kai,Mou Lan,Chen Ji,Zhong Weiping,Liu Chen,Mengliang Tian

Pharmacognosy Magazine,15(65):722-729
DOI: 10.4103/pm.pm_136_19
Published: September 19, 2019
Read More
Original Article

A green method for preparation of curcuminoid-rich Curcuma longa extract and evaluation of its anticancer activity

Likit Lateh,Supreeya Yuenyongsawad,Haixia Chen,Pharkphoom Panichayupakaranant

Pharmacognosy Magazine,15(65):730-735
DOI: 10.4103/pm.pm_162_19
Published: September 19, 2019
Read More
Original Article

Chemical composition from the leaves of Lindera fragrans Oliv

He-Zhong Jiang,Tian Gan,Ya-Nan Li,Chun-Yan Du,Jun-Long Li,Jun-Ting Fan,Rui Tan

Pharmacognosy Magazine,15(65):736-739
DOI: 10.4103/pm.pm_153_19
Published: September 19, 2019
Read More