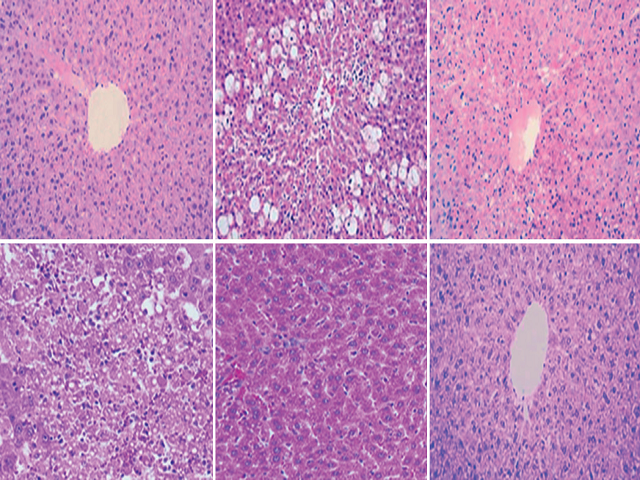
Antioxidant flavonoids from Alhagi maurorum with hepatoprotective effect
Cite This Article
Vancouver Style
. Antioxidant flavonoids from Alhagi maurorum with hepatoprotective effect. Pharmacognosy Magazine . 2019;15(65):592-599.