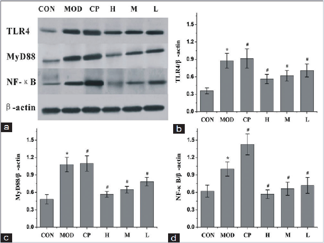
Background: Gastric cancer is a malignant tumor of the digestive tract. It is the fifth most common cancer and the third leading cause of cancer death across the world. In this study, we investigated the antitumor and immunomodulatory effects of total flavonoids from the green peel of Juglans regia L.(JRFs) in Mouse Forestomach Carcinoma (MFC) gastric cancer-bearing mice. Methods: In this study, an MFC gastric cancer-bearing mouse model was established. The killing activity of natural killer (NK) cells, the proliferation of lymphocytes, and the phagocytosis of macrophages of mice were observed by lactate dehydrogenase release assay and MTT assay. The levels of tumor necrosis factor-α (TNF-α), interleukin-2 (IL-2), and IL-6 in the serum of mice were detected by enzyme-linked immunosorbent assay, and the mRNA and protein expressions of Toll-Like Receptor 4 (TLR4), MyD88, and nuclear factor kappaB (NF-κB) in the spleen tissue were detected by real-time polymerase chain reaction and Western blot analysis, respectively. Results: Compared with the model group, the tumor weight of mice in the high-, medium-, and low-dose JRF groups was significantly decreased, whereas the spleen index, the activity of NK cells, the proliferation of lymphocytes, and the phagocytosis of macrophages were significantly increased. There was no significant difference in the level of TNF-α, IL-2, and IL-6 in the serum of mice between the model group and the low-dose JRFs group, whereas the levels of TNF-α, IL-2, and IL-6 in the serum of mice in the high-and medium-dose JRF groups were significantly higher than those in the model group. The mRNA and protein expressions of TLR4, MyD88, and NF-κB in the spleen tissue of mice in the high-, medium-, and low-dose JRF groups were significantly lower than those in the model group. Conclusion: JRFs can inhibit the growth of MFC gastric cancer in mice and the blocked activation of TLR4/NF-κB signaling pathway may be the potential mechanism of the antitumor and immunomodulatory effects of JRFs in MFC gastric cancer-bearing mice.