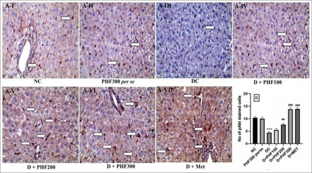
Background: Type 2 diabetes mellitus is a progressive polygenic disorder requiring a multi-targeted therapeutic approach. A polyherbal formula (PHF) comprised of four traditional herbs known for their anti-diabetic, anti-oxidant, and hepatoprotective activities were used in this study. Objectives: The purpose of this research was to find out the plausible mechanisms underlying the synergistic effects of PHF in an experimental setting of diabetes mellitus. Materials and Methods: PHF was evaluated for the presence of residual toxins, acute oral toxicity, and its effects on carbohydrate digestive enzymes. PHF (100, 200, and 300 mg/kg/p. o., respectively) was used to treat streptozotocin-induced diabetic rats for 12 weeks followed by glycemic, histopathological, biochemical, and ultrastructural changes measurement. mRNA levels of AMPK, insulin receptor substrate (IRS), phosphoinositide-3-phosphate kinase (PI3K), Akt, and glucose transporter 2 (GLUT2) were measured using real-time polymerase chain reaction. Results: In PHF, the residual toxins were absent. PHF inhibited the α-amylase (IC50 152.2 ± 9.3 μg/mL), and α-glucosidase (IC50 103.0 ± 0.81 μg/mL) activities in-vitro. Further, up to a dose of 2000 mg/kg, PHF showed no signs of mortality. PHF treatment significantly maintained the glycemic state, antioxidant status, lipid profile, hepatic-architecture, and ultrastructural alterations in diabetic rats. Similarly, diabetic rats showed detrimental effects on the mRNA level of AMPK and IRS-PI3K-Akt-GLUT2 signaling which were attenuated by PHF treatment. Immunohistochemical analysis also revealed an improvement in p-Akt expression after PHF treatment. Conclusion: In streptozotocin-induced diabetic rats, PHF improves glucose and lipid metabolism by attenuating hyperglycemia, hyperinsulinemia, dyslipidemia, insulin resistance, oxidative stress, inflammation, and deterioration of hepatic architecture possibly through AMPK mediated improvement in hepatic IRS-PI3K-Akt-GLUT2 signaling pathway.