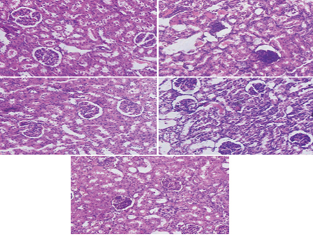
Background: Grape seed proanthocyanidin extract (GSPE) shows a protective effect against cisplatin (cis-dichlorodiammine-platinum (II) [CDDP])-induced nephrotoxicity, but the protection mechanism is still not clear. Objectives: Herein, protective effects of GSPE on cisplatin (CDDP) relevant to oxidative Damage and apoptosis were investigated in rats. Materials and Methods: Randomly divide the experimental animals into five groups: Respectively are normal control group, CDDP model group, GSPE (400 mg/kg) group, CDDP + GSPE (200 mg/kg) group, and CDDP + GSPE (400 mg/kg) group. Each group was administered with distilled water or the corresponding doses of GSPE via gavage for 15 consecutive days. Subsequently, a single intraperitoneal injection of CDDP (8 mg/kg) was administered to the CDDP and CDDP + GSPE groups, and the remaining groups were administered with normal saline via intraperitoneal injection. Results: Based on the histopathological analysis, cisplatin caused structural and functional renal impairment and elevated the levels of serum creatinine and blood urea nitrogen, respectively. Renal injury was caused due to increased lipid peroxidation (LPO)/oxidative stress as evidenced by the increased levels of malondialdehyde and decreased levels of antioxidants including reduced superoxide dismutase, glutathione peroxidase and glutathione. Cisplatin administration also observably increased the rate of apoptosis of renal cortical cells, decreased the expression of Bcl-2, and increased the expression of Bax and caspase-3. The pretreatment of GSPE significantly improved renal function and attenuated the cisplatin-induced LPO/oxidative stress and apoptosis. Conclusion: Our results suggest that that GSPE had a good protective effect against CDDP-induced renal oxidative stress and apoptosis in rats. In addition, the co-administration of GSPE might prove to be a novel and promising preventive strategy against cisplatin-induced nephrotoxicity.