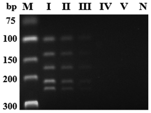
Harnessing multiplex polymerase chain reaction assay for convenient and simultaneous differentiation of testudinis carapax et plastrum from trionycis carapax
Cite This Article
Vancouver Style
. Harnessing multiplex polymerase chain reaction assay for convenient and simultaneous differentiation of testudinis carapax et plastrum from trionycis carapax. Pharmacognosy Magazine. 2020;16(69):393-399.