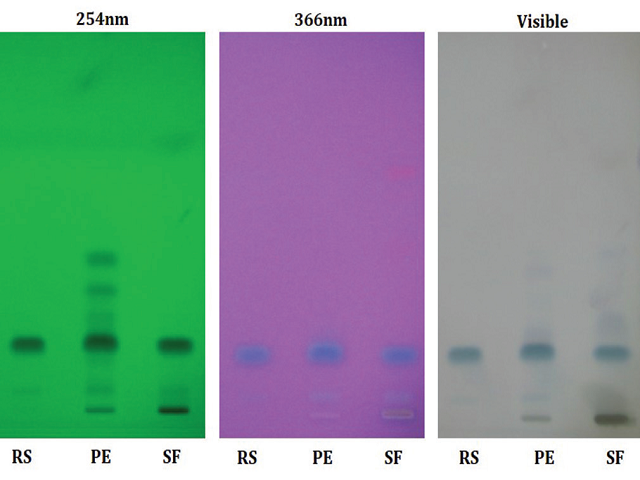
Background: Preparation of highly standardized polyherbal formulation with its chief active chemical constituents supported by therapeutic efficacy in vitro is a valuable approach in the field of pharmaceutical sciences. Objective: The present work aims to develop the high-performance thin-layer chromatography (HPTLC) marker-based standardization of polyherbal formulation using Piperine, Asiaticoside, and Withanolide-A and in vitro acetylcholinesterase inhibition activity. Materials and Methods: For successful standardization, the HPTLC quantification of Piperine, Asiaticoside, and Withanolide-A was carried out. Suitable solvent systems were optimized to achieve the better resolution of the marker compounds, extracts, and sample formulation. The reproducibility of the methods was also confirmed by repeating the procedure twice. The identity of the bands in the sample formulation was confirmed by comparing the Rf value with those of their respective reference standards. In vitro acetylcholinesterase inhibition assay was done on the different crude extracts as well as tablet formulation. Results: HPTLC quantification of formulation for Piperine content showed 1.97% content w/w, whereas Piper longum extract showed 2.44% w/w. Similarly, Asiaticoside showed 0.71% in formulation and in Centella asiatica extract, it was 1.33% w/w. Contrary to the above, Withanolide-A content was 2.12% w/w in formulation and in Withania somnifera extract, it was only 0.81% w/w. In vitro acetylcholinesterase inhibition assay exhibited significant inhibition with IC50 value of 70 μg for tablet formulation. Conclusion: The presence of Piperine, Asiaticoside, and Withanolide-A in formulation was identified by rapid HPTLC quantification method. The method is very precise, reproducible, and accurate. The developed method can be used to quantify the marker compounds in the formulations available in the market. The formulation also evaluated for its acetylcholinesterase inhibition assay and showed significant activity. Hence, it could be used in the treatment of memory-related disorders such as Alzheimer's disease.