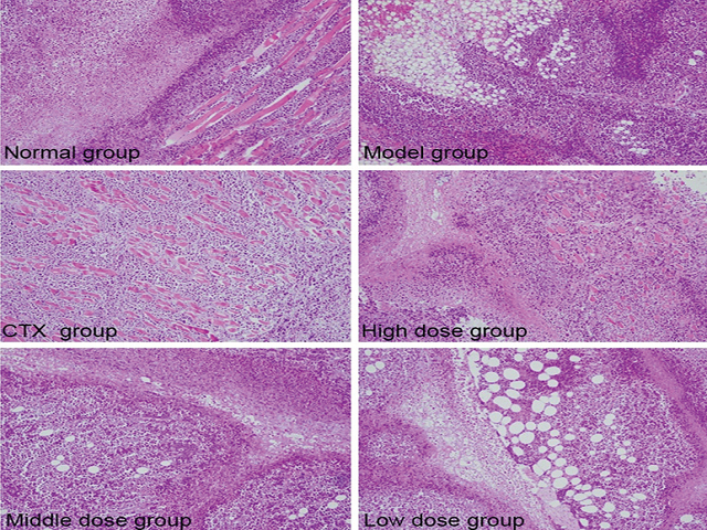
Background: The aim of this study was to study the antitumor and immunomodulatory effects and its mechanism of the n-butyl alcohol extract of the ethanol extracts in Zanthoxylum avicennae (Lam.) DC. for the mice with liver cancer H22. Materials and Methods: To inoculate H22 tumor plant to the mice and establish three different animal models of liver cancer solid tumor ascitic tumor and immunodeficiency in mice H22 and then divide the mice into six groups: blank group, model group, positive group (cyclophosphamide or astragalus polysaccharide), drug dosages group of high, medium, and lower (1.28 g/kg, 0.64 g/kg, 0.32 g/kg). After 2 weeks of intragastric administration, the content of aspartate transaminase (AST), alanine transaminase (ALT), tumor necrosis factor-α (TNF-α), and interleukin-2 (IL-2) in the blood serum of the mice with solid cancer and the level of superoxide dismutase (SOD), malondialdehyde (MDA), TNF-α, and IL-2 in the blood serum of the immunodeficiency mice were determined. At the same time, the indexes of liver, spleen, and thymus gland organs in solid tumor mice and immunodeficiency mice were determined, the life elongation rate of the mice with liver cancer H22 ascitic tumor was observed, and then the changing status of the tumor tissue by the method of HE dyeing was observed. Results: The contents of TNF-α and IL-2 in the serum of the high-dose group of the solid tumor model were obviously higher than the normal group, with very significant difference (P < 0.01) and very high tumor inhibition rate of 54.61%, and the contents of transaminase AST, ALT, and the tumor inflammatory factors such as TNF-α and IL-2 in the mice serum were obviously decreased, and the tumor weights were reduced greatly; the contents of MDA, TNF-α, and IL-2 in the serum of the mice of the immunodeficiency group were obviously decreased, with obvious increase of the SOD activity and the organ indexes of the liver, spleen, and thymus gland; the life extension rate of the mice in the high-dose group of the ascitic tumor model was obviously increased. Conclusion: The n-butyl alcohol extract of Z. avicennae improved the survival quality of the H22 tumor-bearing mice and enhanced their immune ability to exhibit very excellent antitumor activity through improving the inflammatory factors of the tumor-bearing mice. The mechanism may be that it had the function of antitumor just by improving the immune organs' quality of the tumor-bearing mice, and at the same time increased the secretion of the cell inflammatory factors such as TNF-α and IL-2 and thus strengthened the immunocompetence and improved the lipid peroxidation in the bodies of tumor-bearing mice.