Pharmacognosy Magazine, Vol 15, Issue 64, Jul-Sep 2019
Recent Articles
Commentary
The antioxidant paradox
Ashok Kumar Tiwari
Pharmacognosy Magazine,15(64):173-175 DOI: 10.4103/0973-1296.265039 Published: Sat, 10-Feb-2024 Read More
Original Article
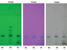
Pterodon emarginatus hydroalcoholic extract: Antioxidant and photoprotective activities, noncytotoxic effect, and perspective of obtaining formulations with photochemoprotective activity
,Marize Campos Val Moreira,Danielle Guimaraes Diniz,Maria Teresa Fre Bara
Pharmacognosy Magazine,15(64):176-182 DOI: 10.4103/pm.pm_580_18 Published: Sat, 10-Feb-2024 Read More
Original Article
Optimization of ultrasound-assisted extraction of L-ascorbic acid from Adansonia digitata (Linn.) and evaluation of its antityrosinase activity
Hussein Zeitoun,Sabine Lone,Dominique Salameh,Roger Lteif
Pharmacognosy Magazine,15(64):183-188 DOI: 10.4103/pm.pm_615_18 Published: Sat, 10-Feb-2024 Read More
Original Article
Cell cycle arrest and apoptosis in human liver cancer cell line and A549 cell lines by Turbiconol– A novel sterol isolated from Turbinaria conoides
Kala K. Jacob,KJ Prashob Peter,Muraleedharan Nair,N Chandramohanakumar
Pharmacognosy Magazine,15(64):189-196 DOI: 10.4103/pm.pm_643_18 Published: Sat, 10-Feb-2024 Read More
Original Article
Anti-adipogenic effect of Terminalia chebula fruit aqueous extract in 3T3-L1 preadipocytes
Anuj Kumar Borah,Pooja Rani Kuri,Archana Singh,Sougata Saha
Pharmacognosy Magazine,15(64):197-204 DOI: 10.4103/pm.pm_108_19 Published: Sat, 10-Feb-2024 Read More
Original Article
Liquid chromatography–mass spectrometry/mass spectrometry method development for the determination of carbaryl residue in honey
Santhi S. Venu,Ashish Rawson,R Paranthaman,K Sureshkumar
Pharmacognosy Magazine,15(64):205-211 DOI: 10.4103/pm.pm_641_18 Published: Sat, 10-Feb-2024 Read More
Original Article
Anti-diabetic activities of Dactylorhiza hatagirea leaf extract in 3T3-L1 cell line model
Murad Alsawalha,Abeer Mohammed Al-Subaei,Reem Yousuf Al-Jindan,Srinivasa Rao Bolla,Dwaipayan Sen,Janardhana Papayya Balakrishna,Padma Kanchi Ravi,Shiva Shankar Re Gollapalli,Vishnu Priya Veeraraghavan,Aruthra Arumugam Pillai,Joel Palpath Joseph,Mohammed Salahuddin,Surapaneni Krishna Mohan
Pharmacognosy Magazine,15(64): 212-217 DOI: 10.4103/pm.pm_8_19 Published: Sat, 10-Feb-2024 Read More
Original Article
Nanoencapsulation of Tinospora cordifolia (Willd.) using poly (D, L-lactide) nanoparticles: Yield optimization by response surface methodology and in silico modeling with insulin receptor tyrosine kinase
A Ragavee,Selvaraj Asha Devi
Pharmacognosy Magazine,15(64):218-227 DOI: 10.4103/pm.pm_678_18 Published: Sat, 10-Feb-2024 Read More
Original Article
Volatile and phenolic compounds in freshwater diatom Nitzschia palea as a potential oxidative damage protective and anti-inflammatory source
BL Sudarshan,PK Maheshwar,Shanmukha Priya,KR Sanjay
Pharmacognosy Magazine,15(64): 228-236 DOI: 10.4103/pm.pm_649_18 Published: Sat, 10-Feb-2024 Read More
Original Article
Anti-proliferative and apoptotic effects of Rheum emodi on human breast adenocarcinoma, MCF-7 Cells, and antimicrobial effectiveness against selected bacterial strains
Juhi Rais,Asif Jafri,Shabana Bano,Neelam Shivnath,Madhu Tripathi,Md Arshad
Pharmacognosy Magazine,15(64):237-242 DOI: 10.4103/pm.pm_674_18 Published: Sat, 10-Feb-2024 Read More
Original Article
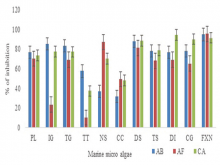
Identification and quantification of fucoxanthin in selected carotenoid-producing marine microalgae and evaluation for their chemotherapeutic potential
Muthukumaran Peraman,Saraswathy Nachimuthu
Pharmacognosy Magazine,15(64): 243-249 DOI: 10.4103/pm.pm_64_19 Published: Sat, 10-Feb-2024 Read More
Original Article
Osteogenic activity of resveratrol in human fetal osteoblast cells
Aarti Abhishek Shah,Karthik Gourishetti,Yogendra Nayak
Pharmacognosy Magazine,15(64):250-255 DOI: 10.4103/pm.pm_619_18 Published: Sat, 10-Feb-2024 Read More
Original Article
High-performance thin-layer chromatography marker-based standardization of Piperine, Asiaticoside, and Withanolide-A in the developed polyherbal formulation and in vitro evaluation of acetylcholinesterase inhibition
Vasudev Pai,KS Chandrashekar,Polu Picheshwar Rao,Manganahalli Manjunath Setty
Pharmacognosy Magazine,15(64): 256-260 DOI: 10.4103/pm.pm_5_19 Published: Sat, 10-Feb-2024 Read More
Original Article
Anticancer effect of different extracts of Cynanchum acutum L. seeds on cancer cell lines
Ahmed Mohamed Mo Youssef,Zeinab Ahmed Said El-Swaify,Yousef Mohammed Al-Saraireh,Saed Mohammed Al-Dalain
Pharmacognosy Magazine,15(64):261-266 DOI: 10.4103/pm.pm_676_18 Published: Sat, 10-Feb-2024 Read More
Original Article
Impact of microwaves on the extraction yield of phenolics, flavonoids, and triterpenoids from centella leaves: An approach toward digitized robust botanical extraction
Kamal Kumar Sen,Kavi Bhushan Si Chouhan,Roshni Tandey,Rajendra Mehta,Vivekananda Mandal
Pharmacognosy Magazine,15(64):267-273 DOI: 10.4103/pm.pm_99_19 Published: Sat, 10-Feb-2024 Read More
Original Article
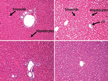
Efficacy of Trigonella foenum-graecum seed extract on ovariectomy-induced hyperlipidemia, oxidative stress, and histopathological changes in rats
Takkella Nagamma,Anjaneyulu Konuri,Rajalekshmi Maheshwari,EG Padmanabha Udupa,Yogendra Nayak
Pharmacognosy Magazine,15(64):274-279 DOI: 10.4103/pm.pm_4_19 Published: Sat, 10-Feb-2024 Read More
Original Article
Potential Cyclooxygenase (COX-2) enzyme inhibitors from Myrica nagi-from in-silico to in-vitro investigation
HP Prashanth Kumar,Prachurjya Panda,Prashantha Karunakar,Kotikalapudi Shiksha,Laxmi Singh,Nijalingappa Ramesh,Talambedu Usha,Sushil Kumar Middha
Pharmacognosy Magazine,15(64):280-287 DOI: 10.4103/pm.pm_56_19 Published: Sat, 10-Feb-2024 Read More
Original Article
Caesalpinia pulcherrima arrests cell cycle and triggers reactive oxygen species-induced mitochondrial-mediated apoptosis and necroptosis via modulating estrogen and estrogen receptors
Nikhil S. Sakle,Deepak Lokwani,Santosh Namdeo Mokale
Pharmacognosy Magazine,15(64):288-297 DOI: 10.4103/pm.pm_100_19 Published: Sat, 10-Feb-2024 Read More
Original Article
Pila globosa snail extract inhibits osteoclast differentiation via downregulation of nuclear factor κB and nuclear factor of activated T-Cells c1 signaling pathways
Shanmuganathan Pandiarajan,Shila Samuel,Tholcopiyan Loganathan,Shyam Sundar Jaganathan,Thiagarajan Krishnamurthi,Radhakrishnan Sarangapani,Vinod Kumar Anandan,Ramasubramanian Venkatachalam
Pharmacognosy Magazine,15(64):298-306 DOI: 10.4103/pm.pm_39_19 Published: Sat, 10-Feb-2024 Read More
Original Article
Tetrahydronaphthalene lignan glucoside from Crataeva nurvala: Apoptotic induction, antimigration, and in silico analysis
Nandan Sarkar,Puneet Kacker,Hina Amin,Priyanka Narad,Anindya Goswami,Sabari Ghosal
Pharmacognosy Magazine,15(64):307-312 DOI: 10.4103/pm.pm_624_18 Published: Sat, 10-Feb-2024 Read More
Original Article
In silico molecular docking and comparative in-vitro analysis of ethyl 3, 4, 5-trihydroxybenzoate and its derivative isolated from Hippophae rhamnoides leaves as free radical scavenger and anti-inflammatory compound
PK Pandey,Bahar Ahmed,Haider A. Khan,M Bala,Jagdish Prasad
Pharmacognosy Magazine,15(64):313-319 DOI: 10.4103/pm.pm_625_18 Published: Sat, 10-Feb-2024 Read More
Original Article
Decalepis hamiltonii and its bioactive compounds protects isoproterenol-induced myocardial oxidative stress in rats
Anupama Sindhaghat Kariyappa,Sowbhagya Ramachandregowda,Santosh Anand,Bhagyalakshmi Dundaiah,Mamatha Madhugiri Gopinath,Ravikiran Tekupalli
Pharmacognosy Magazine,15(64):320-327 DOI: 10.4103/pm.pm_642_18 Published: Sat, 10-Feb-2024 Read More
Original Article
Morinda Citrifolia (Noni) fruit protects the exocrine pancreatic dysfunction against L-arginine induced acute pancreatitis in rats
Veena Gadicherla,Siva Reddy Challa,Mandava V.Basavesw Rao,Pavan Kumar Kunda,Ramakrishna Prudhvi
Pharmacognosy Magazine,15(64):328-334 DOI: 10.4103/pm.pm_661_18 Published: Sat, 10-Feb-2024 Read More
Original Article
Evaluation of the effectiveness of Acmella uliginosa (Sw.) Cass. flower methanolic extract in pain amelioration and memory impairment in the experimental rat models: Search for an alternative remedy over opioid painkillers
Subhashis Paul,Debabrata Modak,Somit Dutta,Tapas Kumar Chaudhuri,Soumen Bhattacharjee
Pharmacognosy Magazine,15(64):335-345 DOI: 10.4103/pm.pm_71_19 Published: Sat, 10-Feb-2024 Read More
Original Article
Effect of ethanolic extract of Excoecaria agallocha leaves on the cytotoxic activity and cell cycle arrest of human breast cancer cell lines – MCF-7
Palagati Rohith Kum Reddy,Priya Durairaj,Palaniyandi Thiruvanavukkarasu,Rajeswary Hari
Pharmacognosy Magazine,15(64):346-351 DOI: 10.4103/pm.pm_237_19 Published: Sat, 10-Feb-2024 Read More
Original Article
Primary skin irritation and dermal sensitization assay: In vivo evaluation of the essential oil from Piper sarmentosum Roxb.
Nor Zafirah Ab Bakar,Hidayatulfathi Othman,Nor Fadilah Rajab,Siti Balkis Budin,Ahmad Fuad Shamsuddin,Nor Azwani Moh Nor
Pharmacognosy Magazine,15(64):352-358 DOI: 10.4103/pm.pm_635_18 Published: Sat, 10-Feb-2024 Read More
Original Article
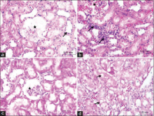
Catha edulis-induced skeletal muscle toxicity in experimental rats via regulation of rhabdomyolysis biomarkers
Syam Mohan,Emad Shaheen,Yasmin O. El-Amir,Hussein A. Khadashi,Saida S. Ncibi,Abdullah Farasani,Siddig Ibrahim Abdelwahab
Pharmacognosy Magazine,15(64):359-365 DOI: 10.4103/pm.pm_142_19 Published: Sat, 10-Feb-2024 Read More
Original Article