Pharmacognosy Magazine, Vol 15, Issue 62, (Suppl.) Apr-Jun 2019

Recent Articles

Original Article

Androgen Receptor (NR3C4) regulator potential of Ceratonia siliqua extract and its signaling pathways

Fehmi Kigili,Fatih Ozen,Tunc Catal,Belkıs Atasever Arslan

Pharmacognosy Magazine,15(62):1-4
DOI: 10.4103/pm.pm_588_18
Published: April 26, 2019
Read More
Original Article

Antihyperglycemic activity of the leaves from annona diversifolia Safford. and farnesol on normal and alloxan-induced diabetic mice

Fernando Calzada,Miguel Valdés,Normand García-Hernández,Claudia Velázquez,Elizabeth Barbosa,Celia Bustos-Brito,Leovigildo Quijano,Emmanuel Pina-Jiménez,Jesica Elena Mendieta-Wejebe

Pharmacognosy Magazine,15(62):5-11
DOI: 10.4103/pm.pm_582_18
Published: April 26, 2019
Read More
Original Article

Anti-tuberculosis drug-induced oxidative stress in kidneys: Role of brahmi as an antioxidant supplement

Sabina Evan Prince,Sherry Joseph Martin,Udhaya Lavinya,Kavitha Selvanathan,A Geetha

Pharmacognosy Magazine,15(62):12-16
DOI: 10.4103/pm.pm_481_18
Published: April 26, 2019
Read More
Original Article

In vivo and in vitro antidiabetic and antioxidant activity of spirulina

Patrick Nwabueze Okechukwu,Sophia Ogechi Ekeuku,Mridula Sharma,Chong Pei Nee,Hor Kuan Chan,Norazlina Mohamed,Gabriele Ruth Anisa Froemming

Pharmacognosy Magazine,15(62):17-29
DOI: 10.4103/pm.pm_431_18
Published: April 26, 2019
Read More
Original Article

In vitro evaluation of the effects of lycopene on caspase system and oxidative DNA damage in high-glucose condition

Bunyamin Bazyel,Semiha Dede,Sedat Cetin,Veysel Yuksek,Mehmet Taşpinar

Pharmacognosy Magazine,15(62):30-33
DOI: 10.4103/pm.pm_488_18
Published: April 26, 2019
Read More
Original Article

In vitro antileishmanial activity of methanolic extracts for some selected medicinal plants

Ahmed Gomaa Goma Darwish,Mamdouh Nabil Samy,Sachiko Sugimoto,Katsuyoshi Matsunami,Hideaki Otsuka

Pharmacognosy Magazine,15(62):34-37
DOI: 10.4103/pm.pm_570_18
Published: April 26, 2019
Read More
Original Article

Cloning, identification, and in silico analysis of terpene synthases involved in the competing pathways of artemisinin biosynthesis pathway in Artemisia annua L

Umara Nissar Rafiqi,Irum Gul,Monica Saifi,Nazima Nasrullah,Javed Ahmad,Prasanta Dash,Malik Zainul Abdin

Pharmacognosy Magazine,15(62):38-46
DOI: 10.4103/pm.pm_244_18
Published: April 26, 2019
Read More
Original Article

Cytoprotective effect of Cactus cladode (Opuntia ficus-indica) against chlorpyrifos induced reactive oxygen species in rat hepatocytes: Involvement of heat shock protein 70 and CYP1A1/2 proteins

Hafiz Antar Makeen,Saida Ncibi,Syam Mohan,Abdullah Farasani,Roger Rahmani,Mohammed Al Bratty,Hassan A. Alhazmi

Pharmacognosy Magazine,15(62):47-53
DOI: 10.4103/pm.pm_484_18
Published: April 26, 2019
Read More
Original Article

Improvement of sexual behavior and ejaculatory parameters by the methanolic extract of Guibourtia tessmannii (Caesalpiniaceae) in high-fat-diet-fed sexually sluggish male rats

Patrick Brice Defo Deeh,Pierre Watcho,Kamalesh K. Gulia

Pharmacognosy Magazine,15(62):54-61
DOI: 10.4103/pm.pm_449_18
Published: April 26, 2019
Read More
Original Article

The contribution of ionotropic gabaergic and N-methyl-D-Aspartic acid receptors in the antidepressant-like effects of hispidulin

Abeer Abdelhalim,Imran Khan,Nasiara Karim

Pharmacognosy Magazine,15(62):62-70
DOI: 10.4103/pm.pm_539_18
Published: April 26, 2019
Read More
Original Article

Wound healing and antibacterial activities of 2-Pentadecanone in streptozotocin-induced Type 2 diabetic rats

Stepfanie N. Siyumbwa,Sophia Ogechi Ekeuku,Farahnaz Amini,Naw May Emerald,Deepali Sharma,Patrick Nwabueze Okechukwu

Pharmacognosy Magazine,15(62): 71-77
DOI: 10.4103/pm.pm_444_18
Published: April 26, 2019
Read More
Original Article

Exploring the potential of Desmodium gangeticum (L.) DC. extract against spatial memory deficit in rats

Nilanjan Changdar,Rajesh Kumar Ganjhu,Samita Rijal,Ayush Kumar,Shanchari Basu Mallik,Madhavan Nampoothiri,Rekha R. Shenoy,Kiran B. Sonawane,Mallikarjuna C. Rao,Jayesh Mudgal

Pharmacognosy Magazine,15(62):78-83
DOI: 10.4103/pm.pm_501_18
Published: April 26, 2019
Read More
Original Article

Vasorelaxant and antihypertensive activities of citroflavonoids (Hesperidin/Naringenin Mixture): Potential prophylactic of cardiovascular endothelial dysfunction

Amanda Sánchez-Recillas,Nubia Arely González-Rivero,Verenice Barrera-Canto,Maximiliano Ibarra-Barajas,Samuel Estrada-Soto,Rolffy Ortiz-Andrade

Pharmacognosy Magazine,15(62):84-91
DOI: 10.4103/pm.pm_489_18
Published: April 26, 2019
Read More
Original Article

Erigeron linifolius attenuates lipopolysachharide-induced depressive-like behavior in mice by impeding neuroinflammation, oxido-nitrosative stress, and upregulation of tropomyosin receptor kinase B-derived neurotrophic factor and monoaminergic pathway in

Chandana Choudhury Barua,Kunjbihari Sulakhiya,Prakash Haloi,Lipika Buragohain,Beenita Saikia,Iswar Chandra Barua,Debesh Chandra Pathak,Shantanu Tamuli,R Elancheran,Xinquo Ren

Pharmacognosy Magazine,15(62):92-103
DOI: 10.4103/pm.pm_258_18
Published: April 26, 2019
Read More
Original Article

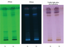
Bioautography-based identification of antioxidant metabolites of Solanum nigrum L. and exploration its hepatoprotective potential against D-galactosamine-induced hepatic fibrosis in rats

Karishma Chester,Sultan Zahiruddin,Adil Ahmad,Washim Khan,Sarvesh Paliwal,Sayeed Ahmad

Pharmacognosy Magazine,15(62):104-110
DOI: 10.4103/pm.pm_359_18
Published: April 26, 2019
Read More
Original Article

Bioavailable curcumin alleviates lipopolysaccharide-induced neuroinflammation and improves cognition in experimental animals

Anu Sunny,Kannan Ramalingam,Syam Das,Balu Maliakel,IM Krishnakumar,Sibi Ittiyavirah

Pharmacognosy Magazine,15(62):111-117
DOI: 10.4103/pm.pm_307_18
Published: April 26, 2019
Read More
Original Article

Nutritional value and nephrotoxicity effect of dillenia pentagyna fruit on alloxan-induced diabetic rats

Ranjeet Kumar Yadav,Arpit Azad,SK Srivastava,B Sharma,Mahesh Pal

Pharmacognosy Magazine,15(62):118-122
DOI: 10.4103/pm.pm_494_18
Published: April 26, 2019
Read More
Original Article

Formulation and evaluation of wound healing activity of sophorolipid-sericin gel in wistar rats

Snehal V. More,Santosh S. Koratkar,Navnath Kadam,Sachin Agawane,Asmita Prabhune

Pharmacognosy Magazine,15(62):123-127
DOI: 10.4103/pm.pm_392_18
Published: April 26, 2019
Read More
Original Article

Quantitative assessment of tactile allodynia and protective effects of flavonoids of Ficus carica Lam. leaves in diabetic neuropathy

Khan Dureshahwar,Mohammed Mubashir,Aman Upaganlwar,Jaiprakash N. Sangshetti,Chandrashekhar D. Upasani,Hemant D. Une

Pharmacognosy Magazine,15(62):128-134
DOI: 10.4103/pm.pm_553_18
Published: April 26, 2019
Read More
Original Article

14-Deoxy-11,12-Didehydroandrographolide: A novel compound isolated from Andrographis paniculata Nees. induces robust apoptosis in leukemic cells [RETRACTED]

Swadesh Sarkar,Priya K. Gopal,Biswajit Chakraborty,Mausumi Paul,Chinmay Chowdhury,Santanu Paul

Pharmacognosy Magazine,15(62):135-143
DOI: 10.4103/pm.pm_466_18
Published: April 26, 2019
Read More
Original Article

Bioactive compound of Ocimum sanctum carvacrol supplementation attenuates fluoride toxicity in sodium fluoride intoxicated rats: A study with respect to clinical aspect

Kondeti Ramudu Shanmugam,Mavulapati Siva,Sahukari Ravi,Bhasha Shanmugam,Kesireddy Sathyavelu Reddy

Pharmacognosy Magazine,15(62):144-149
DOI: 10.4103/pm.pm_436_18
Published: April 26, 2019
Read More
Original Article

Phytochemical evaluation and cytotoxic potential of chloroform soluble fraction of methanol extract of Thespesia populnea in human breast cancer cell lines

Anu Gopalakrishnan,Bibu John Kariyil,Reni John,PT A. Usha

Pharmacognosy Magazine,15(62):150-154
DOI: 10.4103/pm.pm_329_18
Published: April 26, 2019
Read More
Original Article

Physicochemical standardization of mucilage obtained from Althaea officinalis Linn – Root

Mazhar Husain,Abdul Wadud, ,Gulamuddin Sofi,Shaista Perveen,Khadeeja Abdul Hafeez

Pharmacognosy Magazine,15(62):155-161
DOI: 10.4103/pm.pm_506_18
Published: April 26, 2019
Read More
Original Article

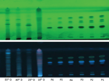
Ultra high performance liquid chromatography-electrospray ionization-mass spectroscopy quantification, xanthine oxidase inhibitory, and antioxidant activity profile of some medicinal plants from Albaha Region

Nasser A.Awadh Ali,Iman Mansi,Nafees Ahmed,Saleh Alghamdi,Rajab Abu Alhalawah,Abdulwali Al-Khulaidi,Sirajudheen Anwar

Pharmacognosy Magazine,15(62):162-167
DOI: 10.4103/pm.pm_514_18
Published: April 26, 2019
Read More
Short Communication

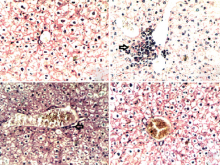
Inducible nitric oxide synthase downregulation and cellular antioxidant enzyme enhancing potential of oleanolic acid from Isodon wightii (Bentham) H. Hara against lipopolysaccharide-induced liver damage in bagg albino strain C mice

Madhusudhanan Gogul Ramnath,Ramaraj Thirugnanasampandan,Sadasivam Mathusalini,Gunasekaran Bhuvaneswari,Selvaraj Vasantharani,Palathurai Subramania Mohan

Pharmacognosy Magazine,15(62):168-172
DOI: 10.4103/pm.pm_533_18
Published: April 26, 2019
Read More